
Autism and theory of mind
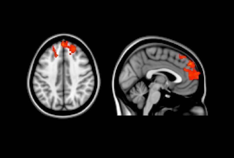
Researchers at the Caltech Brain Imaging Center have developed a new test to examine the components of theory of mind in people with autism. Theory
All services are 100% virtual. I’m licensed in California and work with adults in California, by secure video.
Ready to get started or have questions? Click here to complete the contact form and connect with me.
Subscribe for free access to all mini-courses & get my weekly newsletter with the latest articles, news, videos & resource updates.

Researchers at the Caltech Brain Imaging Center have developed a new test to examine the components of theory of mind in people with autism. Theory

Researchers at the University of New Mexico (UNM) are working on more efficient and effective treatments for social deficits in people with autism spectrum disorder

Two new studies suggest that patterns of brain activity in people with autism remain remarkably consistent over seconds and even years. The findings may help

We apologize, but the page you are looking for cannot be found. Please try one of the suggested pages or use the search box above

New research from the University of Kent has found that adults with autism have the ability to recognize complex emotions in others. Contrary to previous

Adults with autism spectrum disorder (ASD) exhibit deficits in social and nonsocial cognitive areas, according to a study published in JAMA Psychiatry. The research, which